
What is ADPKD?
A patient with Autosomal Dominant Polycystic Kidney Disease (ADPKD) was referred to the 3DQ Lab for imaging and kidney volume measurements. Like many others with this inherited condition, regular scans are required to track disease progression. ADPKD causes fluid-filled cysts to develop in the kidneys, gradually enlarging them and reducing their function. Without consistent monitoring and proper management, the disease can lead to serious complications, including high blood pressure, kidney pain, and, in advanced cases, kidney failure. Measurements provided by the 3DQ Lab allow the patient’s care team to track the disease over time and adjust the patient’s treatment plan as needed to help preserve kidney function.
Figure A: A volume-rendered image of both kidneys, highlighting the extent of cyst infiltration.

Imaging and Analysis
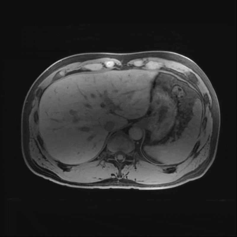
To accurately track the progression of ADPKD, an MRI of the patient’s abdomen was performed, utilizing a gadolinium-based IV contrast agent. This contrast enhances the visibility of kidney cysts and aids in clearly delineating their boundaries, which assists in creating accurate measurements and identification of kidney structures. A radiologic technologist then carefully segmented both kidneys, isolating them from other anatomical structures in the images. Isolating the kidney allowed the technologist to calculate their volumes in cubic centimeters (cm³).
Figure B: Segmentation performed on both kidneys, isolating them from the rest of the patient’s anatomy.

The kidney volumes obtained from the MRI (see below) were provided to the patient’s care team. These measurements were critical for determining the current state of the disease and guiding the management plan. With accurate knowledge of kidney volumes, providers can ensure that interventions are timely and targeted, helping to effectively slow the progression of the disease and manage symptoms more efficiently.

Figure C: Volume render and total volume of the right kidney.

Figure D: Volume render and total volume of the left kidney.

Figure E: Maximum Intensity Projection (MIP) and total volume of the right kidney.

Figure F: Maximum Intensity Projection (MIP) and total volume of the left kidney.
Other articles related to this case:
Magnetic Resonance Imaging (MRI)
3DQ Lab – Grant Building
3DQ Lab – Clark Building
Learn More About the Lab
Copyright © Stanford University


